Врачи Воронежской областной детской клинической больницы (ВОДКБ) №2 спасли 2-летнего ребенка, проглотившего десять магнитов и скрепку. Сначала у малыша подозревали ОРВИ – у него болел живот, наблюдалось расстройство стула и повысилась температура тела. Родители незамедлительно обратились в медучреждение. Подробности в среду, 16 апреля, сообщили в пресс-службе министерства здравоохранения Воронежской области.
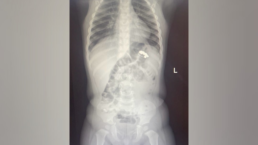
В больнице мальчику сделали рентген органов грудной клетки, который и помог выяснить настоящую причину недомогания – на снимке врачи заметили восемь магнитов и скрепку.

t.me/dzvo36
Малышу провели экстренную операцию под общим наркозом. Инородные тела удалил эндоскопист Александр Климов. Во время хирургического вмешательства специалисты обнаружили в желудке пациента два небольших пролежня (углубления, которые могут образовываться из-за длительного нахождения в желудке тяжелых металлических предметов. – Прим. ред.).

t.me/dzvo36
На контрольном рентгеновском снимке врачи заметили в ЖКТ малыша еще два магнита, которые после постановки очистительной клизмы вышли естественным путем. Специалисты считают, что магниты мальчик проглотил в разное время.
– Это вызвало слипание поперечной толстой кишки и стенки желудка, данный факт уберег ребенка от кишечной непроходимости, – отметил детский хирург Владимир Кораблев.
На пятые сутки пациенту провели контрольное обследование и выписали с выздоровлением.
Ранее в областном центре произошел похожий случай с 6-летним мальчиком. Ребенок проглотил десять магнитов, что вызвало острую непроходимость кишечника. При этом, когда он поступил в медучреждение, его анализы были в норме. Подробнее об этом – в материале РИА «Воронеж».