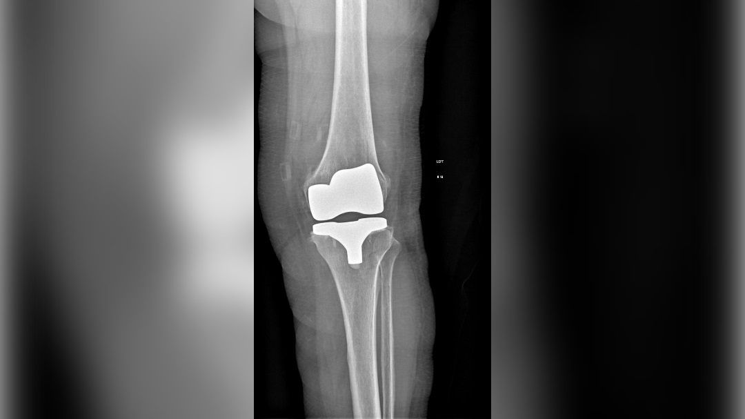
Врачи Воронежской городской клинической больницы скорой медицинской помощи (ВГКБСМП) №1 помогли 75-летней пациентке с двусторонним гонартрозом коленных суставов последней стадии вернуться к активной жизни. Гонартроз – это заболевание, при котором происходит изнашивание и разрушение хряща в коленном суставе. Из-за разрушения хряща кости начинают тереться друг об друга, это вызывает боль, скованность в колене, хруст при сгибании, отек. Женщине провели эндопротезирование коленных суставов (имплантация устройства, которое имеет функцию здорового сустава. – Прим. ред.). Об этом сообщили в больнице в четверг, 10 апреля.

Эндопротезирование левого коленного сустава пациентке выполнили в декабре 2023 года. Операция прошла успешно. В январе 2025 года пациентке провели эндопротезирование правого коленного сустава. Операцию проводили травматологи-ортопеды Евгений Яшников и Сергей Курьянов, медсестра Ирина Поваляева, анестезиолог-реаниматолог Елена Чурсанова и медсестра-анестезист Галина Сухотерина. Операция прошла без осложнений, и уже через несколько дней женщина делала первые шаги под присмотром лечащего врача и реабилитологов. Сейчас пенсионерку уже выписали, она чувствует себя хорошо.


Ранее РИА «Воронеж» сообщало, что врачи ВГКБСМП №1 поставили на ноги 18-летнего пациента со множественными переломами позвоночника после ДТП. Пациенту имплантировали сложную протяженную стабилизирующую систему.